
Foto : © DDr. Wiesner Günter / Innsbruck
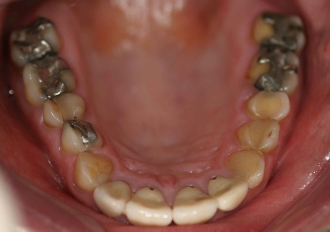
Patient 1 vorher : Unterkiefer mit grossen Amalgam-Füllungen und durch Säureeinwirkung (Bulimie) zerstörte Schmelzschicht.

Foto : © DDr. Wiesner Günter / Innsbruck
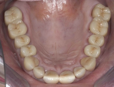
Patient 1 nachher : alle Zähne überkront, Farbe, Form und Funktion wiederhergestellt.

Foto : © DDr. Wiesner Günter / Innsbruck
Patient 1 vorher : Oberkiefer mit alten Frontkronen und grossen Amalgam-Füllungen. Durch Säureeinwirkung (Bulimie) zerstörte Schmelzschicht und sensible Zahnhälse.

Foto : © DDr. Wiesner Günter / Innsbruck
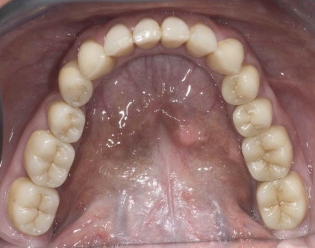
Patient 1 nachher : alle Zähne überkront, Farbe, Form und Funktion wiederhergestellt.