...KRONE ?
Ist ein Zahn erst so weit geschädigt, dass er in der Form nicht mehr seiner Funktion entspricht oder die Farbe nicht mehr ansehnlich ist, wird die Krone Mittel der Wahl. Der Zahn wird bis zu einem Stumpf reduziert und nach einem Abdruck wird im Labor erst ein dünnes Käppchen aus Metall oder Hochleistungskeramik hergestellt. Auf dieses Käppchen wird dann Keramik mit unterschiedlicher Farbe und Transparenz in mehreren Schichten gebrannt, bis die Krone in Form und Farbe genau passt, vom Restzahnbestand nicht mehr zu unterscheiden ist und alle Funktionen des ursprünglichen Zahnes erfüllt
Foto : © Ivoclar Vivadent
Bild einer Frontzahn-Krone
...STIFT-KRONE ?
Ist ein Zahn erst so weit geschädigt, dass der Nerv entfernt werden muss, wird er horizontal abgeschnitten und das Nervgewebe bis zur Wurzelspitze entfernt (Wurzelbehandlung) Von der nun hohlen Wurzel wird ein Abdruck genommen, und im Labor mittels Metall ( Stiftaufbau) bis zur Form eines Zahnstumpfes rekonstruiert. Darüber wird erst ein dünnes Käppchen aus Metall oder Hochleistungskeramik hergestellt. Auf dieses Käppchen kann dann Keramik mit unterschiedlicher Farbe und Transparenz in mehreren Schichten gebrannt werden, bis die Krone in Form und Farbe genau passt, vom Restzahnbestand nicht mehr zu unterscheiden ist und alle Funktionen des ursprünglichen Zahnes erfüllt
...BRÜCKE ?
Fehlen ein oder mehr Zähne kommt die Brücke zum Einsatz . Der Zahn links und rechts der Lücke wird bis zu einem Stumpf reduziert und nach einem Abdruck wird im Labor erst ein dünnes Gerüst aus Metall oder Hochleistungskeramik auf diese Stümpfe hergestellt und der Platz des fehlenden Zahns auch damit ausgefüllt. Auf dieses Gerüst wird dann Keramik mit unterschiedlicher Farbe und Transparenz in mehreren Schichten gebrannt, bis die Brücke in Form und Farbe genau passt, vom Restzahnbestand nicht mehr zu unterscheiden ist und alle Funktionen der ursprünglichen Zähne erfüllt

Foto : © Ivoclar Vivadent
Bild einer Seitzahn-Brücke
...Implantat- KRONE ?
Fehlt ein Zahn oder muss er gezogen werden, kann an seiner Stelle ein Implantat in den Knochen operiert werden. Dieses heilt dann in den Knochen ein. Später ersetzt ein in das Implantat geschraubter Aufbau den Zahnstumpf für die Krone. Nach einem Abdruck wird im Labor erst ein dünnes Käppchen aus Metall oder Hochleistungskeramik auf diesen Aufbau hergestellt. Auf dieses Käppchen wird dann Keramik mit unterschiedlicher Farbe und Transparenz in mehreren Schichten gebrannt, bis die Krone in Form und Farbe genau passt, vom Restzahnbestand nicht mehr zu unterscheiden ist und alle Funktionen des ursprünglichen Zahnes erfüllt

Foto : © Camlog Implants
Schematische Gegenüberstellung- links natürlicher Zahn rechts Krone mit Implantat
...Inlay- oder Keramikfüllung ?
Dies sind Füllungen von kariösen Zähnen die noch soviel gesunde Substanz haben, dass eine Füllung oder Einlage (Inlay) aus Gold oder Keramik zur Wiederherstellung ihrer Funktion und Abdeckung der von Karies betroffenen Stellen genügt. Nach einem Abdruck wird im Labor ein genau passendes Inlay im Guss oder Pressverfahren gefertigt-in Keramik oder Gold, wie vom Patienten gewünscht.

Foto : © Ivoclar Vivadent
Links alte Amalgamfüllungen vorher - rechts die Keramikinlays nachher
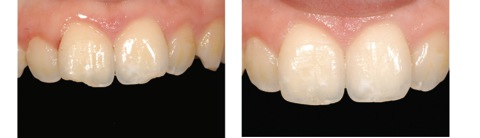
...Veneer- oder Schalenversorgung ?
Wenn Ecken und Kanten an Zähnen fehlen, nach Unfällen Zähne abgebrochen, oder wegen Erbdefekten nicht passend in der Form ausgebildet sind, kann mit Veneer`s geholfen werden. Die oberste Schicht des Zahnes wird sehr dünn abgeschliffen und nach einem Abdruck eine hauchdünne Keramikschicht gefertigt. Diese schliesst Lücken und stellt Form und Farbe des Zahnes wieder her. Mit speziellen Klebern wird diese auf dem Zahn befestigt und schützt vorher offenliegende Teile des Zahnes vor Kariesbefall.

Foto : © Ivoclar Vivadent
Links abgebrochene Kanten - rechts nach Versorgung.
..Kombinierte Teilprothese ?
Fehlen mehrere Zähne in einem Kiefer und sind andere Zähne schon sanierungsbedürftig, kann eine Teilprothese zum Ersatz der fehlenden mit Kronen für die noch „rettbaren“ Zähne (oder auf Implantaten) kombiniert werden. Feinmechanische Teile verbinden den abnehmbaren Teil dieser Versorgung mit den fest im Mund sitzenden Kronen - unsichtbar von Aussen und sicher im Halt

Foto : © Ivoclar Vivadent
unten die Kronen die später fest im Mund sitzen,
oben die später abnehmbare Teilprothese.
...Modellguss- oder Skelettprothese ?
Fehlen mehrere Zähne in einem Kiefer, kann eine Teilprothese zum Ersatz der fehlenden Zähne gefertigt werden. Diese wird mit Häkchen - sogenannten Klammern - an den noch bestehenden Zähnen befestigt. Diese Klammern sind allerdings auch das grosse Problem- kleinste Bewegungen die bei solchen Prothesen nicht zu verhindern sind und das Einsetzen und Herausnehmen „schabt“ am Restzahnbestand und kann diesen schädigen. Diese Art von Prothesen kommt meist nur aus Kostengründen in Frage

Foto : © Ivoclar Vivadent
Hier die vergoldete Version- oben in der Bildmitte die Klammern.
...Implantatgetragene Prothese ?
Sind alle Zähne eines Kiefers gezogen, kann eine Totalprothese an Implantaten abgestützt werden. Die Prothese hält dann sicher im Mund, der Kieferknochen schwindet langsamer und der Tragekomfort erhöht sich sehr.
Solche Implantate können bis ins hohe Alter des Patienten eingesetzt werden, auch wenn eine Totalprothese schon viele Jahre getragen wird. Die Erfahrung aus der Praxis zeigt, dass der Aufwand und die Kosten schnell vergessen sind und die Patienten mit vorher wackeligen Prothesen diese „neue Lebensqualität“ nicht mehr missen wollen!

Foto : © Camlog Implants
schem. Darstellung einer Prothese die auf Implantaten „einschnappend“ konstruiert ist.
...Immediat- oder Interim- oder Total- Prothese ?
Sind alle Zähne eines Kiefers so weit Locker und geschädigt, dass sie entfernt werden müssen, wird im Labor vorab eine Interims- oder Immediatprothese gefertigt. Diese „Erstprothese“ ist dann schon zum Termin der Entfernung der Zähne fertig und wird als Sofortversorgung und zum Wundschutz auf die frischen Extaktionswunden aufgesetzt. Während der Kieferknochen abheilt oder eingesetzte Implantate einwachsen wird diese mehrmals angepasst, bis die entgültige Totalprothese angefertigt werden kann.
Eine Totalprothese kann sehr aufwendig oder sehr einfach ausgeführt werden! Die hohe Anforderung an das handwerkliche Geschick und die damit verbundenen Arbeitskosten für die Erstellung einer hochwertigen Total-Prothese lohnen den vergleichsweise geringen Aufpreis auf eine „Kassenprothese“ allerdings immer.

Foto : © Ivoclar Vivadent
individuell gestaltete Ober- und Unterkieferprotesen.
